При выполнении заданий с кратким ответом впишите в поле для ответа цифру, которая соответствует номеру правильного ответа, или число, слово, последовательность букв (слов) или цифр. Ответ следует записывать без пробелов и каких-либо дополнительных символов. Дробную часть отделяйте от целой десятичной запятой. Единицы измерений писать не нужно.
Если вариант задан учителем, вы можете вписать или загрузить в систему ответы к заданиям с развернутым ответом. Учитель увидит результаты выполнения заданий с кратким ответом и сможет оценить загруженные ответы к заданиям с развернутым ответом. Выставленные учителем баллы отобразятся в вашей статистике.
Версия для печати и копирования в MS Word
Какой метод Вы бы использовали для изучения строения клетки растений?
1) гибридизация
2) вскрытие
3) микроскопия
4) эксперимент
Ответ:
Откуда, согласно клеточной теории, появляются новые клетки у грибов?
1) от других клеток
2) формируются из органоидов
3) путем распада синцитиев
4) путем реорганизации тканей
Ответ:
К какому царству относится организм, схема строения клетки которого изображена на рисунке?
1) Бактерии
2) Растения
3) Грибы
4) Животные
Ответ:
К какому отделу растений относится улотрикс?
1) Бурые водоросли
2) Зеленые водоросли
3) Мхи
4) Папоротникообразные
Ответ:
Какой тип плода характерен для семейства пасленовые?
1) боб
2) стручок
3) коробочка
4) орех
Ответ:
К какому классу членистоногих относится представленное на фотографии животное?
1) Многоножки
2) Ракообразные
3) Паукообразные
4) Насекомые
Ответ:
Для какого класса хордовых характерно наличие двойного дыхания?
1) Рыбы
2) Земноводные
3) Рептилии
4) Птицы
Ответ:
Какой из перечисленных органов относят к органам брюшной полости?
1) сердце
2) легкие
3) мочевой пузырь
4) печень
Ответ:
В каких процессах организма человека участвует гипоталамус?
1) регуляция работы остальных желез
2) регуляция менструального цикла
3) усвоение углеводов
4) выработка лимфоцитов
Ответ:
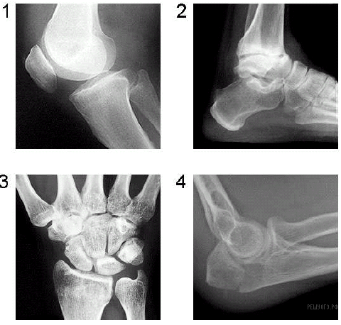
Какой цифрой на рентгенограмме отмечен коленный сустав?
Ответ:
Какая система человека активизируется при проникновении в кровоток бактерий?
1) кровеносная
2) нервная
3) лимфатическая
4) иммунная
Ответ:
Какой кровеносный сосуд обозначен на рисунке цифрой 3?
1) легочная артерия
2) аорта
3) легочная вена
4) нижняя полая вена
Ответ:
Какие мышцы человека работают при выдохе после глубокого вдоха?
1) межреберные мышцы выдоха
2) диафрагма
3) межреберные мышцы выдоха и диафрагма
4) межреберные мышцы выдоха, диафрагма и мышцы гортани
Ответ:
Куда поступают липиды при всасывании в тонком кишечнике?
1) лимфа
2) тканевая жидкость
3) просвет кишечника
4) кровь
Ответ:
Какой цифрой на рисунке обозначена часть слухового анализатора, участвующая в определении положения тела в пространстве?
Ответ:
Какой из перечисленных факторов в наибольшей степени способствует развитию депрессии?
1) усталость
2) голод
3) непрочитанная книга
4) отсутствие возможности самореализации
Ответ:
Какие меры необходимо применить при закрытом переломе плеча?
1) положить человека под наклоном, головой вниз
2) наложить шину, зафиксировав плечевой и локтевой суставы
3) наложить жгут выше места перелома
4) наложить давящую повязку на плечо
Ответ:
Между какими организмами устанавливаются симбиотические отношения?
1) человек и кишечная палочка
2) кит и мелкие ракообразные
3) человек и лямблии
4) виноград и улитка
Ответ:
Какое из перечисленных животных является эволюционно более молодым?
1) человеческая аскарида
2) виноградная улитка
3) коралловый полип
4) медоносная пчела
Ответ:
Известно, что момент распускания почек на деревьях зависит от двух факторов: длины светового дня и средней суточной температуры. На графике представлено количество деревьев, на которых распустилось большинство (больше 50%) почек, по числам апреля. По оси X отложены дни (числа апреля), по оси Y — процент деревьев с распустившимися почками.
Определите, в каких числах резко потеплело?
1) с 5 по 10 апреля
2) с 10 по 15 апреля
3) с 15 по 20 апреля
4) с 20 по 25 апреля
Ответ:
Между биологическими объектами и процессами, указанными в столбцах приведенной ниже таблицы, имеется определенная связь.
| ОБЪЕКТ | ПРОЦЕСС |
|---|---|
| ... | пищеварение |
| легкое | дыхание |
Какое понятие следует вписать на место пропуска в этой таблице?
1) матка
2) сердце
3) почка
4) кишечник
Ответ:
Укажите, какие из приведенных суждений верны.
A. Корневое давление не влияет на транспорт воды к листьям растения.
Б. Транспорт воды по стеблю снизу вверх обеспечивается регулируемым испарением воды (транспирацией).
1) верно только А
2) верно только Б
3) верны оба утверждения
4) оба утверждения неверны
Ответ:
Какие из приведенных характеристик характерны для однодольных растений? Выберите три верных признака из шести и запишите цифры, под которыми они указаны.
1) могут быть древесными
2) трехчленный цветок
3) проводящие пучки без камбия
4) две семядоли
5) перистое жилкование
6) мочковатая корневая система
Ответ:
Какие из перечисленных факторов окружающей среды относятся к абиотическим? Выберите три верных признака из шести и запишите цифры, под которыми они указаны.
1) освещенность
2) влажность
3) наличие парниковых газов
4) температура воздуха
5) поедание животными друг друга
6) наличие дороги
Ответ:
Установите соответствие между перечисленными характеристиками животных и животными, к которым они относятся. Для этого к каждому элементу первого столбца подберите позицию из второго столбца. Впишите в таблицу цифры выбранных ответов.
А) при передвижении по суше не касается брюхом земли
Б) артериальная и венозная кровь не смешиваются
В) тело покрыто роговыми щитками
Г) передние конечности приспособлены к хождению
Д) имеет воздушные мешки
Е) является плотоядным
1) крокодил
2) голубь
Запишите в ответ цифры, расположив их в порядке, соответствующем буквам:
| А | Б | В | Г | Д | Е |
Ответ:
Установите последовательность стадий жизненного цикла мха сфагнума, начиная с оплодотворения. В ответе запишите соответствующую последовательность цифр.
1) оплодотворение
2) развитие листостебельного растения
3) развитие коробочки на ножке
4) развитие половых органов и гамет
5) развитие спор
6) прорастание протонемы
Ответ:
Вставьте в текст «Дарвинизм» пропущенные термины из предложенного перечня, используя для этого числовые обозначения. Запишите в текст цифры выбранных ответов, а затем получившуюся последовательность цифр (по тексту) впишите в приведенную ниже таблицу.
Дарвинизм
Дарвинизм — по имени английского натуралиста _________(А) — направление эволюционной мысли, приверженцы которого согласны с основными идеями Дарвина в вопросе эволюции, согласно которым главным ___________(Б) эволюции является _______________(В) отбор. В широком смысле нередко (и не совсем правильно) употребляется для обозначения эволюционного учения или эволюционной биологии в целом. Дарвинизм противопоставляют идеям ____________(Г) который считал, что основной движущей силой эволюции является присущее организмам стремление к _____________(Д).
ПЕРЕЧЕНЬ ТЕРМИНОВ:
1) свойство
2) фактор
3) совершенство
4) искусственный
5) естественный
6) Ламарк
7) Линней
8) Дарвин
Запишите в ответ цифры, расположив их в порядке, соответствующем буквам:
| А | Б | В | Г | Д |
Ответ:
У членистоногих существует несколько основных морфологических признаков, по которым их делят на крупные таксономические группы.
A. Расчлененность тела:
1) тело состоит из большого числа одинаковых члеников,
2) тело делится на несколько четко различимых отделов (тагм).
Б. Количество крупных отделов (тагм):
1) тагм нет,
2) две тагмы (головогрудь и брюшко),
3) три тагмы (голова, грудь и брюшко).
B. По количеству ходильных конечностей (конечностей на грудном сегменте), включая видоизмененные:
1) три пары,
2) четыре пары,
3) пять пар,
4) больше пяти пар.
Г. По устройству глаз:
1) есть два сложных (фасеточных) глаза,
2) есть несколько простых глаз.
Д. По наличию крыльев:
1) крылья есть,
2) крыльев нет.
Внимательно рассмотрите картинку и определите, какие признаки (по приведенной выше классификации) у приведенного на рисунке животного.
Запишите в ответ цифры, расположив их в порядке, соответствующем буквам:
| А | Б | В | Г | Д |
Ответ:
Используя содержание текста «Молекулярно-генетические методы при расследовании преступлений», ответьте на следующие вопросы.
1) Какую реакцию используют для получения копий аллелей исследуемого человека?
2) Какие гены лучше использовать: консервативные (одинаковые почти у всех людей, живущих в данной местности) или полиморфные (сильно различающиеся у разных людей)?
3) Можно ли считать совпадение ДНК 100% доказательством вины? Ответ поясните.
На следующей странице вам будет предложено проверить их самостоятельно.
Существует множество факторов, влияющих на эффективность фотосинтеза у наземных растений. Ученые решили исследовать влияние концентрации углекислого газа на рост проростков пшеницы. Проростки растили при трех различных концентрациях углекислого газа, а эффективность фотосинтеза (измерялась по количеству поглощенного СO2) определялась при различной интенсивности светового потока. Результаты были занесены в таблицу.
Изучите таблицу 1 и ответьте на вопросы:
1. При какой концентрации СO2 фотосинтез идет наиболее эффективно?
2. Какова сила света, при которой эффективность фотосинтеза при 500 частей/миллион перестает расти?
3. Объясните, почему при концентрации СO2 280 частей/миллион эффективность фотосинтеза не зависит от силы света?
Внимание! Не забывайте указывать размерность величин при ответе на вопросы!
Таблица 1
Количество поглощенного СO2 (в мкл/мин) при разной концентрации
На следующей странице вам будет предложено проверить их самостоятельно.
Петр и Василиса решили совершить велосипедную прогулку до полянки в лесу, на которой они собрались устроить пикник. Ехать на велосипеде они собрались не спеша, так что дорога до полянки и обратно должна занять у них около 3 часов. Сколько и каких продуктов Вы порекомендуете им взять с собой, чтобы вернуться обратно не голодными? Распишите меню пикника и свои расчеты.
Таблица 2
Таблица энергетической и пищевой ценности продуктов питания,
на 100 г продукта
Таблица 3
Энергозатраты при различных видах физической активности
На следующей странице вам будет предложено проверить их самостоятельно.
Петр и Василиса решили совершить велосипедную прогулку до полянки в лесу, на которой они собрались устроить пикник. Ехать на велосипеде они собрались не спеша, так что дорога до полянки и обратно должна занять у них около 3 часов.
Как Вы считаете, полезно ли часто выезжать на такие пикники, как тот, что запланировали Петр и Василиса? Ответ обоснуйте.
Таблица 3
Энергозатраты при различных видах физической активности
На следующей странице вам будет предложено проверить их самостоятельно.

