При выполнении заданий с кратким ответом впишите в поле для ответа цифру, которая соответствует номеру правильного ответа, или число, слово, последовательность букв (слов) или цифр. Ответ следует записывать без пробелов и каких-либо дополнительных символов. Дробную часть отделяйте от целой десятичной запятой. Единицы измерений писать не нужно.
Если вариант задан учителем, вы можете вписать или загрузить в систему ответы к заданиям с развернутым ответом. Учитель увидит результаты выполнения заданий с кратким ответом и сможет оценить загруженные ответы к заданиям с развернутым ответом. Выставленные учителем баллы отобразятся в вашей статистике.
Версия для печати и копирования в MS Word
Что из приведенного можно изучать с помощью палеонтологических методов?
1) половое поведение земноводных
2) эволюцию млекопитающих
3) тонкую структуру органоидов клетки
4) зависимость скорости реакции от температуры
Ответ:
Из чего, согласно клеточной теории, состоят и растения, и животные?
1) органоидов
2) тканей
3) синцитиев
4) клеток
Ответ:
Выберите верное утверждение.
1) у одноклеточного организма нет способности к половому размножению
2) у одноклеточного организма все функции выполняет одна клетка
3) у многоклеточного организма нет дифференциации на органы и ткани
4) у многоклеточного организма всегда есть билатеральная симметрия
Ответ:
К какой группе относится растение, фрагмент которого представлен на фотографии?
1) Водоросли
2) Мхи
3) Папоротникообразные
4) Голосеменные
Ответ:
Какой из перечисленных признаков характерен для однодольных?
1) в проводящих пучках присутствует камбий
2) жилкование листьев сетчатое
3) число частей цветка кратно трем
4) корневая система стержневая
Ответ:
К какому классу беспозвоночных животных относится дождевой червь?
1) Ленточные
2) Ресничные
3) Малощетинковые
4) Многощетинковые
Ответ:
На рисунке схематически изображено строение сердца. Для какого класса хордовых характерно такое строение?
1) Рыбы
2) Земноводные
3) Птицы
4) Млекопитающие
Ответ:
Что из перечисленного ниже отличает человека от человекообразных обезьян?
1) наличие пяти отделов мозга
2) наличие двух кругов кровообращения
3) наличие хорды во взрослом состоянии
4) развитие второй сигнальной системы
Ответ:
Как называется нейрон, проводящий сигнал от центральной нервной системы к мышцам?
1) чувствительный
2) двигательный
3) вставочный
4) сенсорный
Ответ:
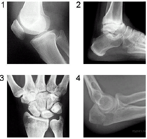
На рисунках представлены рентгенограммы суставов человека. Какой цифрой отмечена рентгенограмма лучезапястного сустава?
Ответ:
Петр уже 3 минуты сидит в парилке, температура в которой 90 °C. Какая температура у Петра в брюшной полости?
1) около 37 °C
2) выше 37 °C, но ниже 42 °C
3) между 37 °C и 90 °C
4) почти 90 °C
Ответ:
Какой кровеносный сосуд обозначен на рисунке цифрой 4?
1) легочная артерия
2) нижняя полая вена
3) аорта
4) легочная вена
Ответ:
Выберите верное утверждение.
1) в желудке не происходит переваривания белков
2) в желудке перевариваются белки, жиры и углеводы
3) в желудке перевариваются жиры, углеводы и нуклеиновые кислоты
4) в желудке перевариваются только белки
Ответ:
Где в организме человека происходит образование первичной мочи?
1) в почках
2) в мочеточниках
3) в мочевом пузыре
4) в мочеиспускательном канале
Ответ:
Какой цифрой на рисунке обозначена часть слухового анализатора, превращающая звуковые колебания в нервный импульс?
Ответ:
Какой из факторов, с точки зрения современной биологии, не влияет на формирование характера человека?
1) генетическая программа
2) положение звезд при рождении
3) воспитание
4) поведение сверстников
Ответ:
При каком типе кровотечения кровь имеет темную окраску и вытекает непрерывно, но медленно?
1) капиллярном
2) артериальном
3) венозном
4) внутреннем
Ответ:
Какое из приведенных растений составляет основу карельских лесов?
1) сосна
2) береза
3) дуб
4) клен
Ответ:
Какое из приведенных животных не относится к млекопитающим?
1) беляк
2) белуха
3) белка
4) белуга
Ответ:
Изучите график зависимости активности фермента, выделенного из термофильной бактерии, от температуры и определите, какая температура оптимальна для жизни этих бактерий? По оси X отложена температура, а по оси Y — активность фермента в условных единицах.
1) 55
2) 60
3) 65
4) 70
Ответ:
В таблице приведены ткани растений и их функции.
| ТКАНЬ | ФУНКЦИЯ |
|---|---|
| столбчатая ткань листа | ... |
| ксилема | проведение воды к листьям |
Какой термин необходимо вписать на место пропуска?
1) фотосинтез
2) защита нижележащих тканей
3) газообмен
4) запасание веществ
Ответ:
Верны ли следующие суждения о царстве животных?
А. Все представители царства животные многоклеточные.
Б. Клетки животных лишены клеточной стенки.
1) верно только А
2) верно только Б
3) верны оба утверждения
4) оба утверждения неверны
Ответ:
Какие из перечисленных симптомов характерны для гриппа? Выберите три верных признака из шести и запишите цифры, под которыми они указаны.
1) высокая температура
2) воспаленные глаза
3) головная боль
4) выпадение волос
5) повышенный аппетит
6) слабость
Ответ:
Какие из перечисленных свойств характерны для большинства хордовых животных? Выберите три верных признака из шести и запишите цифры, под которыми они указаны.
1) сердце имеет 4 предсердия
2) нервная система узлового типа
3) способны к активному перемещению
4) присутствует внутренний скелет
5) имеется амбулакральная система
6) кровеносная система замкнута
Ответ:
Установите соответствие между перечисленными признаками животных и животными, к которым эти признаки относятся. Для этого к каждому элементу первого столбца подберите позицию из второго столбца. Впишите в таблицу цифры выбранных ответов.
А) кровеносная система не замкнута
Б) дышит через поверхность кожи
В) имеет внешний скелет
Г) имеет фасеточные глаза
Д) гермафродит
Е) тело разделено на одинаковые сегменты
1) пчела медоносная
2) дождевой червь
Запишите в ответ цифры, расположив их в порядке, соответствующем буквам:
| А | Б | В | Г | Д | Е |
Ответ:
Установите последовательность таксономических единиц в классификации ржи, начиная с наибольшей. В ответе запишите соответствующую последовательность цифр.
1) отдел Цветковые
2) царство Растения
3) порядок Злаковые
4) семейство Злаки
5) класс Однодольные
6) род Рожь
Ответ:
Вставьте в текст «Семейство Сложноцветные» пропущенные термины из предложенного перечня, используя для этого числовые обозначения. Запишите в текст цифры выбранных ответов, а затем получившуюся последовательность цифр (по тексту) впишите в приведенную ниже таблицу.
Семейство Сложноцветные
Сложноцветные — одно из самых больших семейств ______________(А) растений.
Главный отличительный признак этого семейства состоит в том, что у него цветы —________(Б), представляющие на самом деле целое соцветие из мелких цветочков —______________(В). Эти цветочки сидят на общем цветоложе и окружены общей чашечкой, состоящей из одного или нескольких рядов _______________(Г) (маленьких листочков, расположенных на цветоножке) — получается нечто наподобие корзиночки. Отдельные цветочки обычно совсем мелкие. Венчик сростнолепестный, по форме сильно различается, но выделяют два наиболее распространенных типа: трубчатый и ___________(Д), причем все пять его долей срастаются в одну пластинку, отогнутую в одну сторону.
ПЕРЕЧЕНЬ ТЕРМИНОВ:
| 1) прицветник | 2) прилистник | 3) корзинка | 4) двудольный |
| 5) однодольный | 6) язычковый | 7) сложный | 8) составной |
Запишите в ответ цифры, расположив их в порядке, соответствующем буквам:
| А | Б | В | Г | Д |
Ответ:
Рассмотрите фотографию листа пальмы. Выберите характеристики, соответствующие его строению, по следующему плану: тип листа, жилкование листа, форма листа, тип листа по соотношению длины, ширины и по расположению наиболее широкой части, по форме края. При выполнении работы Вам помогут линейка и карандаш.
А. Тип листа
| 1) черешковый | 2) сидячий |
Б. Жилкование листа
| 1) параллельное | 2) дуговидное |
| 3) пальчатое | 4) перистое |
В. Форма листа
Г. Тип листа по соотношению длины, ширины и по расположению наиболее широкой части
Длина превышает ширину в 1,5-2 раза
Длина превышает ширину в 3-4 раза
Д. Край листа
Запишите в ответ цифры, расположив их в порядке, соответствующем буквам:
| А | Б | В | Г | Д |
Ответ:
Используя содержание текста «Амурский тигр», ответьте на следующие вопросы.
1) Где сосредоточен ареал амурского тигра?
2) В какое время суток наиболее активен амурский тигр?
3) Учитывая пищевую специализацию амурского тигра и его ареал, предположите, в каких случаях Амурский тигр может выходить к людям?
На следующей странице вам будет предложено проверить их самостоятельно.
Пользуясь таблицей «Структура посевных площадей, валовое производство и урожайность основных сельскохозяйственных культур центральной экспериментальной базы ВНИИМК», а также своими знаниями ответьте на следующие вопросы.
Таблица 1. Структура посевных площадей, валовое производство и урожайность
основных сельскохозяйственных культур центральной
| Наименование культуры | 2005 год | 2006 год | ||||
|---|---|---|---|---|---|---|
| площадь, га | вал. сбор, т | урожай- ность, ц/га | площадь, га | вал. сбор, т | урожай- ность, ц/га | |
| Озимая пшеница | 515 | 2777 | 54 | 545 | 3749 | 69 |
| Клещевина | 27 | 17 | 10 | 16 | 13 | 8 |
| Подсолнечник | 158 | 217 | 14 | 156 | 325 | 21 |
| Лен масличный | 157 | 135 | 9 | 122 | 202 | 17 |
1. Какая из культур имела наибольшую урожайность в 2005 году?
2. Выросла ли в 2006 году площадь под посевы по сравнению с 2005 годом? Ответ обоснуйте.
3. Как Вы считаете, в какой год погода была более благоприятная? Ответ поясните.
На следующей странице вам будет предложено проверить их самостоятельно.
Маша и Таня катались на роликовых коньках в течение 2 часов, после чего решили перекусить в одном из ресторанов быстрого питания. Рассчитайте, что стоит съесть каждой из них, чтобы компенсировать их энергозатраты. При выборе учтите, что Таня очень любит сладкое и предпочитает не есть мясо (при этом ест птицу), а Маша любит есть жирные мясные блюда и не мыслит обеда без газировки.
В ответе укажите энергозатраты катания и рекомендуемые блюда с их энергетической ценностью.
Энергетическая и пищевая ценность продукции кафе быстрого питания
Энергозатраты при различных видах физической активности
На следующей странице вам будет предложено проверить их самостоятельно.
Маша и Таня катались на роликовых коньках в течение 2 часов, после чего решили перекусить в одном из ресторанов быстрого питания. (задание 31 № 1413) Таня любит сладкое и предпочитает не есть мясо, а Маша любит есть жирные мясные блюда и не мыслит обеда без газировки. Как Вы думаете, кому из них будет легче следить за фигурой? Ответ обоснуйте.
Энергетическая и пищевая ценность продукции кафе быстрого питания
Энергозатраты при различных видах физической активности
На следующей странице вам будет предложено проверить их самостоятельно.

