При выполнении заданий с кратким ответом впишите в поле для ответа цифру, которая соответствует номеру правильного ответа, или число, слово, последовательность букв (слов) или цифр. Ответ следует записывать без пробелов и каких-либо дополнительных символов. Дробную часть отделяйте от целой десятичной запятой. Единицы измерений писать не нужно.
Если вариант задан учителем, вы можете вписать или загрузить в систему ответы к заданиям с развернутым ответом. Учитель увидит результаты выполнения заданий с кратким ответом и сможет оценить загруженные ответы к заданиям с развернутым ответом. Выставленные учителем баллы отобразятся в вашей статистике.
Версия для печати и копирования в MS Word
Какой метод Вы бы использовали для изучения поведения пчел?
1) микроскопия
2) гибридизация
3) вскрытие
4) наблюдение
Ответ:
Откуда, согласно клеточной теории, появляются новые клетки у животных?
1) формируются из органоидов
2) от других клеток
3) путем реорганизации тканей
4) путем распада синцитиев
Ответ:
К какому царству относится организм, схема строения клетки которого изображена на рисунке?
1) Бактерии
2) Растения
3) Грибы
4) Животные
Ответ:
К какому отделу растений относится маршанция?
1) Бурые водоросли
2) Зеленые водоросли
3) Мхи
4) Папоротникообразные
Ответ:
Какой тип плода характерен для семейства бобовые?
1) боб
2) стручок
3) коробочка
4) орех
Ответ:
К какому классу членистоногих относится представленное на фотографии животное?
1) Многоножки
2) Ракообразные
3) Паукообразные
4) Насекомые
Ответ:
Для какого класса хордовых характерно наличие кожно-легочного дыхания?
1) Рыбы
2) Земноводные
3) Рептилии
4) Птицы
Ответ:
Какой из перечисленных органов относят к органам малого таза?
1) сердце
2) селезенка
3) мочевой пузырь
4) глаз
Ответ:
В каких процессах организма человека участвует тимус (вилочковая железа)?
1) регуляция водно-солевого обмена
2) регуляция менструального цикла
3) переваривание липидов
4) выработка лимфоцитов
Ответ:
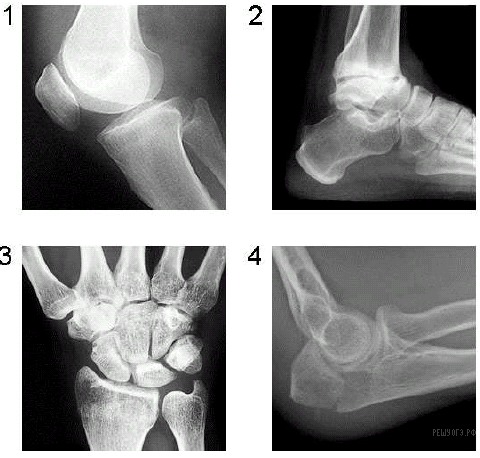
Какой цифрой на рентгенограмме отмечен локтевой сустав?
Ответ:
Какая система человека активизируется при проникновении в кровь чужеродных белков?
1) нервная
2) иммунная
3) пищеварительная
4) кровеносная
Ответ:
Какой кровеносный сосуд обозначен на рисунке цифрой 2?
1) легочная артерия
2) аорта
3) легочная вена
4) нижняя полая вена
Ответ:
Какие мышцы человека работают при глубоком вдохе?
1) межреберные мышцы вдоха
2) диафрагма
3) межреберные мышцы вдоха и диафрагма
4) межреберные мышцы вдоха, диафрагма и мышцы гортани
Ответ:
Куда поступают углеводы при всасывании в тонком кишечнике?
1) лимфа
2) кровь
3) тканевая жидкость
4) просвет кишечника
Ответ:
Какой цифрой на рисунке обозначена часть слухового анализатора, передающая звуковые колебания от наружнего к среднему уху?
Ответ:
Симптомами какого состояния являются повышенная сонливость, плохое настроение и нежелание принимать решения в течение длительного времени?
1) высокой температуры
2) депрессии
3) пищевого отравления
4) голода
Ответ:
Какие меры необходимо применить при проникающем ранении в области грудной клетки?
1) положить человека под наклоном, головой вниз
2) наложить жгут выше области ранения
3) наложить давящую повязку на грудь
4) зафиксировать пострадавшего в сидячем положении
Ответ:
Между какими организмами устанавливаются симбиотические отношения?
1) лев и косуля
2) рак отшельник и актиния
3) человек и бычий цепень
4) амеба и эвглена зеленая
Ответ:
Какое из перечисленных животных является эволюционно более древним?
1) человеческая аскарида
2) морская звезда
3) пресноводная гидра
4) рак отшельник
Ответ:
Известно, что момент линьки зайцев зависит от двух факторов: длины светового дня и наличия снега в лесу. На графике представлено количество сменивших окраску (белых) зайцев по числам ноября. По оси X отложены дни (числа ноября), по оси Y — процент сменивших окраску зайцев.
Определите, в каких числах шел обильный снег?
1) с 5 по 10 ноября
2) с 10 по 15 ноября
3) с 15 по 20 ноября
4) с 20 по 25 ноября
Ответ:
Между биологическими объектами и процессами, указанными в столбцах приведенной ниже таблицы, имеется определенная связь.
| ОБЪЕКТ | ПРОЦЕСС |
|---|---|
| ... | выделение |
| желудок | пищеварение |
Какое понятие следует вписать на место пропуска в этой таблице?
1) почка
2) печень
3) селезенка
4) легкое
Ответ:
Укажите, какие из приведенных суждений верны.
A. Транспорт минеральных веществ в растении происходит по ксилеме.
B. Запасание питательных веществ у растений происходит только в корнях.
1) верно только А
2) верно только В
3) верны оба утверждения
4) оба утверждения неверны
Ответ:
Какие из приведенных характеристик характерны для двудольных растений? Выберите три верных признака из шести и запишите цифры, под которыми они указаны.
1) проводящие пучки содержат камбий
2) одна семядоля
3) стержневая корневая система
4) всегда травянистые
5) параллельное жилкование листьев
6) число частей цветка кратно четырем или пяти
Ответ:
Какие из перечисленных факторов окружающей среды относятся к антропогенным? Выберите три верных признака из шести и запишите цифры, под которыми они указаны.
1) температура воздуха
2) загрязнение парниковыми газами
3) наличие неперерабатываемого мусора
4) наличие дороги
5) освещенность
6) концентрация кислорода
Ответ:
Установите соответствие между перечисленными характеристиками животных и животными, к которым они относятся. Для этого к каждому элементу первого столбца подберите позицию из второго столбца. Впишите в таблицу цифры выбранных ответов.
A) имеет один круг кровообращения
Б) продукт выделения — мочевина
В) дыхание кожно-легочное
Г) имеет чешую
Д) имеет четко выраженные пояса конечностей и свободные конечности
Е) имеет боковую линию
1) пресноводный окунь
2) зеленая лягушка
Запишите в ответ цифры, расположив их в порядке, соответствующем буквам:
| А | Б | В | Г | Д | Е |
Ответ:
Установите последовательность стадий жизненного цикла папоротника орляка, начиная с оплодотворения. В ответе запишите соответствующую последовательность цифр.
1) оплодотворение
2) развитие половых клеток
3) развитие спорангиев на листьях
4) развитие корневища
5) развитие заростка
6) развитие спор в спорангиях
Ответ:
Вставьте в текст «Ламаркизм» пропущенные термины из предложенного перечня, используя для этого числовые обозначения. Запишите в текст цифры выбранных ответов, а затем получившуюся последовательность цифр (по тексту) впишите в приведенную ниже таблицу.
Ламаркизм
Ламаркизм — эволюционная концепция, основывающаяся на теории, выдвинутой в начале XIX века _________(А) в трактате «Философия зоологии».
В широком смысле к ламаркистским относят различные эволюционные теории, возникшие в XIX — первой трети XX веков, в которых в качестве основной____________(Б) силы эволюции рассматривается внутреннее стремление к__________(В). Как правило, большое значение в таких теориях придается и влиянию__________(Г) органов на эволюционные судьбы организмов, поскольку предполагается, что последствия упражнения и неупражнения могут передаваться по_________________(Д).
ПЕРЕЧЕНЬ ТЕРМИНОВ:
1) стабилизирующий
2) движущий
3) наследство
4) упражнение
5) прогресс
6) Ламарк
7) Линней
8) Дарвин
Запишите в ответ цифры, расположив их в порядке, соответствующем буквам:
| А | Б | В | Г | Д |
Ответ:
У членистоногих существует несколько основных морфологических признаков, по которым их делят на крупные таксономические группы.
A. Расчлененность тела:
1) тело состоит из большого числа одинаковых члеников,
2) тело делится на несколько четко различимых отделов (тагм).
Б. Количество крупных отделов (тагм):
1) тагм нет,
2) две тагмы (головогрудь и брюшко),
3) три тагмы (голова, грудь и брюшко).
B. По количеству ходильных конечностей (конечностей на грудном сегменте), включая видоизмененные:
1) три пары,
2) четыре пары,
3) пять пар,
4) больше пяти пар.
Г. По устройству глаз:
1) есть два сложных (фасеточных) глаза,
2) есть несколько простых глаз.
Д. По наличию крыльев:
1) крылья есть,
2) крыльев нет.
Внимательно рассмотрите картинку и определите, какие признаки (по приведенной выше классификации) у приведенного на рисунке животного.
Запишите в ответ цифры, расположив их в порядке, соответствующем буквам:
| А | Б | В | Г | Д |
Ответ:
Используя содержание текста «Молекулярно-генетические методы установления родства», ответьте на следующие вопросы.
1) Какую реакцию используют для получения копий аллелей исследуемого человека?
2) Чья ДНК исследуется при определении отцовства?
3) Может ли тест на родство дать 100% положительный ответ? Ответ поясните.
На следующей странице вам будет предложено проверить их самостоятельно.
Британские ученые в течение 12 лет проводили исследование, в котором участвовали 3760 младенцев, рожденных в одной из больниц Лондона. Собирались данные о весе детей при рождении и данные о ранней смертности. Целью исследования было определить, есть ли воздействие естественного отбора на массу детей при рождении. В таблице приведены данные о весе младенцев при рождении и процент младенцев, умерших в возрасте до 4 месяцев.
Изучите таблицу 1 и ответьте на вопросы:
1. Какой вес имело большинство детей при рождении?
2. Дети какого веса имели наименьшую раннюю смертность?
3. Как Вы считаете, существует ли давление естественного отбора на вес детей при рождении? Ответ поясните.
Вес детей при рождении и детская смертность
| Диапазон веса младенцев, кг | больше 5 | ||||||||||
| Количество детей | 2 | 17 | 62 | 81 | 316 | 996 | 1411 | 645 | 177 | 48 | 5 |
| Процент умерших детей | 100 | 88 | 73 | 15 | 9 | 6 | 4 | 5 | 7 | 10 | 20 |
На следующей странице вам будет предложено проверить их самостоятельно.
Семья Ульяновых (Сергей, Галина и их 10-летний сын Яков) собралась в байдарочный поход на реку на выходные (2 полных дня и 1 ночевка). Ульяновы планируют проводить на воде по 8 часов в день с остановкой на небольшой перекус рыбными консервами. Перед приготовлением ужина Сергей потратит около 30 минут на рубку дров, а Яков погуляет около часа по окрестностям в поисках ягод. Помогите Галине рассчитать, сколько и каких продуктов надо взять с собой. Учитывайте, что Яков будет грести в 2 раза слабее, чем его родители. Покажите свои расчеты, напишите, какие приемы пищи и какие блюда вы выбрали для Ульяновых.
Таблица энергетической и пищевой ценности продуктов питания,
на 100 г продукта
Энергозатраты при различных видах физической активности
На следующей странице вам будет предложено проверить их самостоятельно.
Семья Ульяновых (Сергей, Галина и их 10-летний сын Яков) собралась в байдарочный поход на реку на выходные (2 полных дня и 1 ночевка). Ульяновы планируют проводить на воде по 8 часов в день с остановкой на небольшой перекус рыбными консервами. Перед приготовлением ужина Сергей потратит около 30 минут на рубку дров, а Яков погуляет около часа по окрестностям в поисках ягод.
Будучи 10-летним мальчиком, Яков упрашивал маму взять в поход побольше сладкого печенья, но Галина была непреклонна и взяла в основном крекеры. Как Вы думаете, почему?
На следующей странице вам будет предложено проверить их самостоятельно.

