Задания
Версия для печати и копирования в MS WordТип Д13 № 7429 

i
|
|
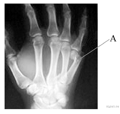
Как называют повреждение, обозначенное на рентгеновском снимке буквой А?
| 1) | вывих | |
| 2) | перелом | |
| 3) | ушиб | |
| 4) | гематома |
Пояснение.
Это задание ещё не решено, приводим решение прототипа.
Как называют повреждение, обозначенное на рентгеновском снимке буквой А?
1) перелом
2) ушиб
3) вывих
4) гематома
На рентгеновском снимке виден перелом — нарушение анатомической целости кости вследствие травмы.
Правильный ответ указан под номером 1.

