Задания
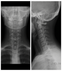
Версия для печати и копирования в MS WordКак называется прибор, изображенный на фотографии, с помощью которого получили данное изображение?
1) рентген-аппарат
2) спирометр
3) электрокардиограф
4) фонендоскоп
Пояснение.
На фотографии изображен снимок, сделанный с помощью рентген-аппарата.
Ответ: 1.
Раздел кодификатора ФИПИ:



